High-Quality, Affordable Dental Implants Just Minutes from California
At DG Dental, we offer high-quality dental implants at a fraction of the U.S. cost. Located just across the border in Mexicali, we provide a safe, comfortable, and professional experience for our patients.
Our full dental implant packages include your custom titanium implant, professional evaluation, and transparent pricing — with no hidden fees.
Whether you need a single implant or a full-mouth restoration, we are here to provide expert care, honest recommendations, and a personalized experience.
Why Choose DG Dental in Mexicali for Your Dental Implants?
There’s a reason so many patients trust us with their smile restoration. At DG Dental Mexicali, we follow the same U.S. protocols, use high-quality imported materials, and offer personalized, compassionate care—at a much lower cost.
Here’s why we’re the preferred choice for dental implants near the border:
-
We don’t work with insurance companies, which helps reduce overhead and keep prices affordable.
-
We use the same brands and materials as in the U.S., so your American dentist will be familiar with our work.
-
Located just minutes from the Calexico border crossing — with easy access by car or walking.
-
We can recommend nearby hotels with special rates if you need to stay overnight.
-
You’ll be seen by our lead dentist, Dr. Diana Gastelum, and our Implant Specialist.
-
English-speaking staff ensures clear and constant communication throughout your treatment.
-
U.S. quality standards with savings up to 70% compared to American prices.
Whether you need just one implant or a full-mouth restoration, we’ll walk you through every step to bring back your healthy, confident smile.

How to start your Dental Implant Treatment with us?
t’s simple and stress-free. Just follow these steps:
Step 1 – Free Case Review
If you already have recent x-rays or a panoramic scan from your local dentist, you can email them to us for a free case review.
Step 2 – First Consultation in Mexicali
-
Meet our implant specialist, Dr. Diana Gastelum.
-
Complete your evaluation and any necessary 3D scan.
-
Receive a clear treatment plan with transparent pricing.
Step 3 – Begin Your Treatment
-
We’ll confirm if you’re a candidate for single or multiple implants.
-
Start your first stage of surgery or restorative work.
-
Enjoy peace of mind with English-speaking staff and U.S. quality standards.
-
📞 Still unsure? Call us directly at +1 (760) 314-6855 — we’re here to guide you every step of the way.
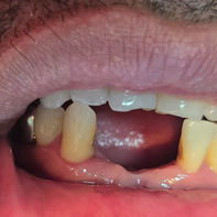
BEFORE AND AFTER
See Real Results From Real Patients
Over the past 10 years, hundreds of patients have trusted DG Dental to restore their smile and confidence. Here are some of our real before-and-after results—from full mouth restorations to single dental implants.
Benefits of Dental Implants
-
Eat, smile, and speak with confidence — no more gaps or loose dentures.
-
Same-day implants available — start your treatment right away.
-
Preserve your remaining healthy teeth — implants don’t damage other teeth.
-
A permanent, long-term solution — enjoy your smile for decades.
Are You A Candidate For
Dental Implants?
You may be a good candidate if you:
-
Have good oral and general health.
-
Have sufficient jawbone density (or are open to bone grafting if needed).
-
Prefer a permanent solution instead of removable dentures.
Not sure if you qualify? Send us your recent x-rays or call
(760) 314-6855 — our team will review your case for free.

Types of Dental Implants We Offer
Whether you need to replace one tooth or your entire smile, we provide personalized solutions using U.S.-quality materials.













